Jak covid postihuje plíce? Rentgenové snímky vypadají děsivě
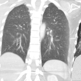
Koronavirus jakožto respirační onemocnění zasahuje zejména plíce, a to často fatálním způsobem. Dokazují to i rentgenové snímky, které získala redakce eXtra.cz. Můžete tak porovnat, jak vypadají zdravé plíce oproti těm zasaženým covidem. Rozdíl poznáte hned na první pohled. Snímek pro eXtra okomentoval primář FN Olomouc Milan Sova.
S koronavirem leží v nemocnicích téměř šest tisíc lidí, přičemž necelá tisícovka z nich dýchá pomocí ventilátoru na jednotce intenzivní péče. Právě kolaps plic je jedním z největších problémů, které s sebou covid-19 přináší. Orgán je často masivně poškozen virovým zánětem, což může vést selhání a následnému úmrtí.
Týdenní proměna
Jak moc koronavirus zasáhne plíce, je patrné na rentgenových snímcích. Když se porovná zdravý orgán se zasaženým, ihned lze vidět výrazný rozdíl. Drobné průdušinky jsou sotva vidět, celkově covidové plíce vypadají na snímcích „zakaleně“, až deformovaně. Proměna, kterou zachycují rentgenové snímky, přitom proběhla přibližně během jednoho týdne.
Podle lékaře, který snímky pro eXtra.cz okomentoval, se plíce nemusí navrátit do normálního stavu, a to ani po úspěšně dokončené léčbě. I to je důvod, proč po prodělání nemoci často přetrvávají následky v podobě respiračních problémů.
„U řady pacientů sledujeme po prodělané infekci změny na plicích. Častěji se jedná o starší lidi, u nichž měla infekce horší průběh. Asi u čtyř procent nemocných, kteří u nás podstoupili podrobné vyšetření kvůli přetrvávajícím postcovidovým problémům, pozorujeme výrazné snížení plicních funkcí,“ vysvětluje primář Kliniky plicních nemocí a tuberkulózy FN Olomouc Milan Sova.
Je tak zásadní, aby se lidé po prodělání mírné formy koronaviru začali opět brzy hýbat. Důležitý je sport či dechová cvičení, která plíce opět posilní. Stejně tak lékaři z olomoucké nemocnice doporučují pobyt na čistém vzduchu. Pokud se ale dýchání nezlepšuje, existují i poradny, kterých mohou lidé pro rehabilatci využít. Rozhodně by se ale postcovidová péče podle lékařů neměla zanedbávat.
Největší tajemství Survivoru odhaleno: Krézlová přiznala, jak získávala zakázané jídlo
Související články

Českem se šíří nová varianta covidu. Do Vánoc se nakazí celá země, varuje Prymula

Válek vyzývá k očkování: Do Česka dorazila jedna z nejnakažlivějších variant covidu, varuje

Epidemiologové bijí na poplach. Nová varianta koronaviru může přinést další krutou zimu

Nebezpečné následky covidu: Lidé, kteří ho prodělali, mají větší riziko vysokého krevního tlaku





























































